خیابان بهشتی، خیابان صابونچی، کوچه ایازی، پلاک ۶۶
English
لوگو بهسو شفا

رادیولوسنسی و سازگاری با تصویربرداری در باند فایبرگلاس

یکی از مزیت‌های کلیدی باندهای فایبرگلاس ارتوپدی نسبت به گچ‌های POP، رادیولوسنسی (Radiolucency) یا عبورپذیری بهتر اشعهٔ ایکس و سازگاری بالاتر با روش‌های تصویربرداری است. این ویژگی باعث می‌شود پزشک بتواند بدون نیاز به برداشتن گچ، کیفیت جااندازی، هم‌راستایی قطعات استخوانی و روند ترمیم را با دقت پایش کند. در این راهنما، منطق مواد و ساختار باند فایبرگلاس، رفتار آن در X-ray، CT و MRI، نکات عملی برای کاهش آرتیفکت‌ها، و تفاوت‌های مهم با گچ POP را مرور می‌کنیم تا تصمیم‌گیری بالینی و تجربهٔ بیمار بهینه شود.


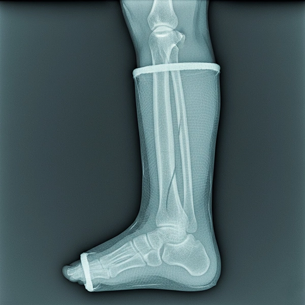
نمای رادیولوژی از اندام گچ‌گیری‌شده با باند فایبرگلاس که جزئیات استخوان را با شفافیت بالا نشان می‌دهد

رادیولوسنسی یعنی چه و چرا مهم است؟

رادیولوسنسی به توانایی یک ماده در عبور دادن پرتوهای X و نمایش ندادن سایهٔ متراکم در تصویر گفته می‌شود. هرچه ماده رادیولوسنت‌تر باشد، استخوان و ساختارهای زیرین با کنتراست و وضوح بیشتر دیده می‌شوند. باند فایبرگلاس با الیاف شیشه‌ای و رزین‌های ویژه، در مقایسه با گچ‌های POP که ذاتاً رادیواُپک‌تر هستند، سایه‌اندازی کمتری ایجاد می‌کند؛ نتیجه: تصاویر واضح‌تر، تکرار کمتر تصویربرداری و تسهیل پایش بالینی.

ساختار فایبرگلاس و اثر آن بر تصویر

  • الیاف شیشه‌ای بافته‌شده: ماتریس الیافی با تخلخل مناسب از عبور پرتو پشتیبانی می‌کند و آرتیفکت‌های ساختاری را کاهش می‌دهد.
  • رزین‌های پلی‌اورتان/رزینی منتخب: پس از فعال‌سازی با آب و پخت، لایه‌ای پایدار و نسبتاً کم‌چگال ایجاد می‌شود که مانع دید رادیولوژیک نمی‌گردد.
  • پدینگ زیرگچ: پدهای غیر‌بافتهٔ باکیفیت، اگر یکنواخت و بدون چین استفاده شوند، از ایجاد خطوط کاذب و سایه‌های فشاری جلوگیری می‌کنند.

رفتار در روش‌های تصویربرداری مختلف

X-ray: باند فایبرگلاس در رادیوگرافی ساده، در قیاس با POP، شفافیت بالاتری ارائه می‌دهد. این یعنی خطوط شکستگی، پیچ و پلاک‌ها و کالوس‌سازی زودتر و بهتر دیده می‌شوند. کیفیت لبه‌گیری و یکنواختی لایه‌ها در کاهش خطوط مزاحم بسیار موثر است.

CT: در سی‌تی اسکن، حضور مواد فلزی (پیچ/پلاک) عامل اصلی آرتیفکت است؛ فایبرگلاس به‌خودی‌خود آرتیفکت کم‌تری نسبت به POP ایجاد می‌کند. با این حال، تخال‌های هوا در لایه‌ها یا چین‌های پدینگ می‌توانند سایه‌های جزئی ایجاد کنند؛ تکنیک صحیح لایه‌گذاری این موارد را کمینه می‌کند.

MRI: الیاف شیشه‌ای و رزین‌های غیر‌فلزی معمولاً سازگار با MRI هستند و آرتیفکت فلزی ایجاد نمی‌کنند. اگرچه حضور تجهیزات فلزی داخلی بیمار (ایمپلنت‌ها) تعیین‌کنندهٔ اصلی کیفیت تصویر است، نه خود باند فایبرگلاس. پیش از MRI، تیم تصویربرداری باید از نوع کست و نبود اجزای فلزی در آن مطلع باشد.


مقایسه نمای رادیولوژی: رادیولوسنسی بالای فایبرگلاس در برابر سایه‌دهی بیشتر گچ POP

فایبرگلاس در برابر POP: تفاوت‌های کلیدی تصویربرداری

  • وضوح شکستگی: فایبرگلاس → رؤیت بهتر لبه‌های شکستگی و کالوس اولیه؛ POP → احتمال پوشانندگی بیشتر.
  • نیاز به تکرار تصویر: با فایبرگلاس غالباً کمتر است، زیرا کیفیت تصویر اولیه بهتر است.
  • پایش پس از جااندازی: امکان ارزیابی دقیق هم‌راستایی بدون برداشتن کست، موجب کاهش ریسک جابه‌جایی ثانویه می‌شود.

نکات تکنیکی برای کاهش آرتیفکت

  1. پدینگ یکنواخت: چین‌ها، تاخوردگی‌ها و فشردگی‌های ناهمگون را حذف کنید؛ برجستگی‌های استخوانی را تقویت کنید.
  2. لایه‌گذاری با هم‌پوشانی ۳۰–۵۰٪: از ایجاد «پله» و شکاف در مسیر دوری کنید؛ کشش یکنواخت حفظ شود.
  3. لبه‌گیری نرم: با moleskin یا نوار پارچه‌ای لبهٔ تیز را تبدیل به قوس نرم کنید تا سایهٔ کاذب کم شود.
  4. خشک‌کردن فعال: رطوبت محبوس، آرتیفکت‌های لکه‌ای می‌سازد؛ پس از قالب‌دهی، هوای خنک برای خشک‌سازی استفاده کنید.

چرا «رنگ» مهم نیست اما «کیفیت رزین» مهم است؟

رنگ‌های متنوع باند فایبرگلاس عموماً بر رادیولوسنسی اثر معنی‌دار ندارند؛ آنچه اهمیت دارد، کیفیت رزین و تراکم نهایی پس از پخت است. رزین‌های با ویسکوزیتهٔ مناسب و کنترل‌شده، ضمن ایجاد استحکام کافی، از تشکیل لایهٔ بیش‌ازحد متراکم و سایه‌زا جلوگیری می‌کنند.

نکات بیمار-محور در تصویربرداری

  • وضعیت‌دهی مناسب: اندام را طوری قرار دهید که کست کمترین هم‌پوشانی با نواحی کلیدی استخوان داشته باشد.
  • کاهش حرکت: در کودکان از پوزیشن‌دهی سریع و ثابت استفاده کنید؛ لرزش، آرتیفکت حرکتی می‌آورد.
  • آموزش: به بیمار توضیح دهید کست فایبرگلاس به‌طور معمول نیاز به برداشتن برای تصویربرداری ندارد، مگر دستور پزشک.

نمونه‌سناریوهای بالینی

  • شکستگی دیستال رادیوس (Short Arm): با فایبرگلاس، تشخیص کالوس اولیه و ارزیابی هم‌راستایی کاراتر است؛ برنامهٔ پیگیری تصویربرداری می‌تواند فواصل منطقی‌تری داشته باشد.
  • Long Leg با پیچ و پلاک: آرتیفکت‌های فلزی اصلی‌ترین محدودیت CT هستند؛ خود فایبرگلاس مزاحمت کمی دارد.
  • MRI برای بافت نرم: در نبود اجزای فلزی، وجود کست فایبرگلاس معمولاً مانع تصویربرداری نیست؛ با این حال، اطلاع‌رسانی به واحد MRI ضروری است.

چیدمان بالینی: باند فایبرگلاس رادیولوسنت در کنار کلیشه‌های رادیولوژی و توضیح روند پایش شکستگی

جمع‌بندی و CTA

رادیولوسنسی بالاتر و سازگاری بهتر با X-ray/CT/MRI، باند فایبرگلاس را به گزینهٔ ترجیحی برای پایش دقیق شکستگی و کاهش نیاز به دستکاری‌های ثانویه تبدیل کرده است. برای مشاهدهٔ مشخصات Optima Cast و Vian Cast و انتخاب عرض/طول مناسب، به صفحهٔ محصولات مراجعه کنید.